イレウス 画像 二 ボー



腸閉塞 イレウス オリンパス おなかの健康ドットコム

腸閉塞 イレウス オリンパス おなかの健康ドットコム

腸閉塞 イレウス とよない院長ブログ

腸閉塞 イレウス とよない院長ブログ

お腹の渋滞は重体なのだ 画像で見る腸閉塞 イレウス 心臓弁膜症 手術 みどり病院 神戸市西区

お腹の渋滞は重体なのだ 画像で見る腸閉塞 イレウス 心臓弁膜症 手術 みどり病院 神戸市西区

腸閉塞 イレウス 見て わかる 病態生理と看護 花子のまとめノート

腸閉塞 イレウス 見て わかる 病態生理と看護 花子のまとめノート

イレウス 腸閉塞 を理解して 腹部x線写真 レントゲン のポイントを押さえる 読影を中心にradiographica 診療放射線技師のバイブル

イレウス 腸閉塞 を理解して 腹部x線写真 レントゲン のポイントを押さえる 読影を中心にradiographica 診療放射線技師のバイブル

腸閉塞 イレウス

腸閉塞 イレウス

腸閉塞 イレウス

臥位の腹部x線でもイレウスを発見できる 日経メディカル

臥位の腹部x線でもイレウスを発見できる 日経メディカル

臥位の腹部x線でもイレウスを発見できる 日経メディカル

臥位の腹部x線でもイレウスを発見できる 日経メディカル

腹部単純x線撮影検査とは 病気の検査法を調べる 医療総合qlife

腹部単純x線撮影検査とは 病気の検査法を調べる 医療総合qlife

お腹の渋滞は重体なのだ 画像で見る腸閉塞 イレウス 心臓弁膜症 手術 みどり病院 神戸市西区

お腹の渋滞は重体なのだ 画像で見る腸閉塞 イレウス 心臓弁膜症 手術 みどり病院 神戸市西区

小林クリニック 症例集

小林クリニック 症例集

腹痛患者への画像診断の適応は Ctは エコーは

腹痛患者への画像診断の適応は Ctは エコーは

イレウスの原因は 術後だけ レントゲンのポイントはこれ

イレウスの原因は 術後だけ レントゲンのポイントはこれ

診療放射線技師 国試対策腹部レントゲン画像問題 ギモンらど

診療放射線技師 国試対策腹部レントゲン画像問題 ギモンらど

看護師国家試験 第104回 午前38問 看護roo カンゴルー

看護師国家試験 第104回 午前38問 看護roo カンゴルー

臥位の腹部x線でもイレウスを発見できる 日経メディカル

臥位の腹部x線でもイレウスを発見できる 日経メディカル

Https Www Sanshu Org Wp Wp Content Uploads 2015 06 7d78b62c90f4b119b30056bd614a2f81 Pdf

Https Www Sanshu Org Wp Wp Content Uploads 2015 06 7d78b62c90f4b119b30056bd614a2f81 Pdf

腸閉塞 イレウス とよない院長ブログ

腸閉塞 イレウス とよない院長ブログ

Https Www Mhlw Go Jp Topics 2006 11 Dl Tp1122 1g11 Pdf

Https Www Mhlw Go Jp Topics 2006 11 Dl Tp1122 1g11 Pdf

消化管のエコー 超音波 画像の見方 疾患とその所見

消化管のエコー 超音波 画像の見方 疾患とその所見

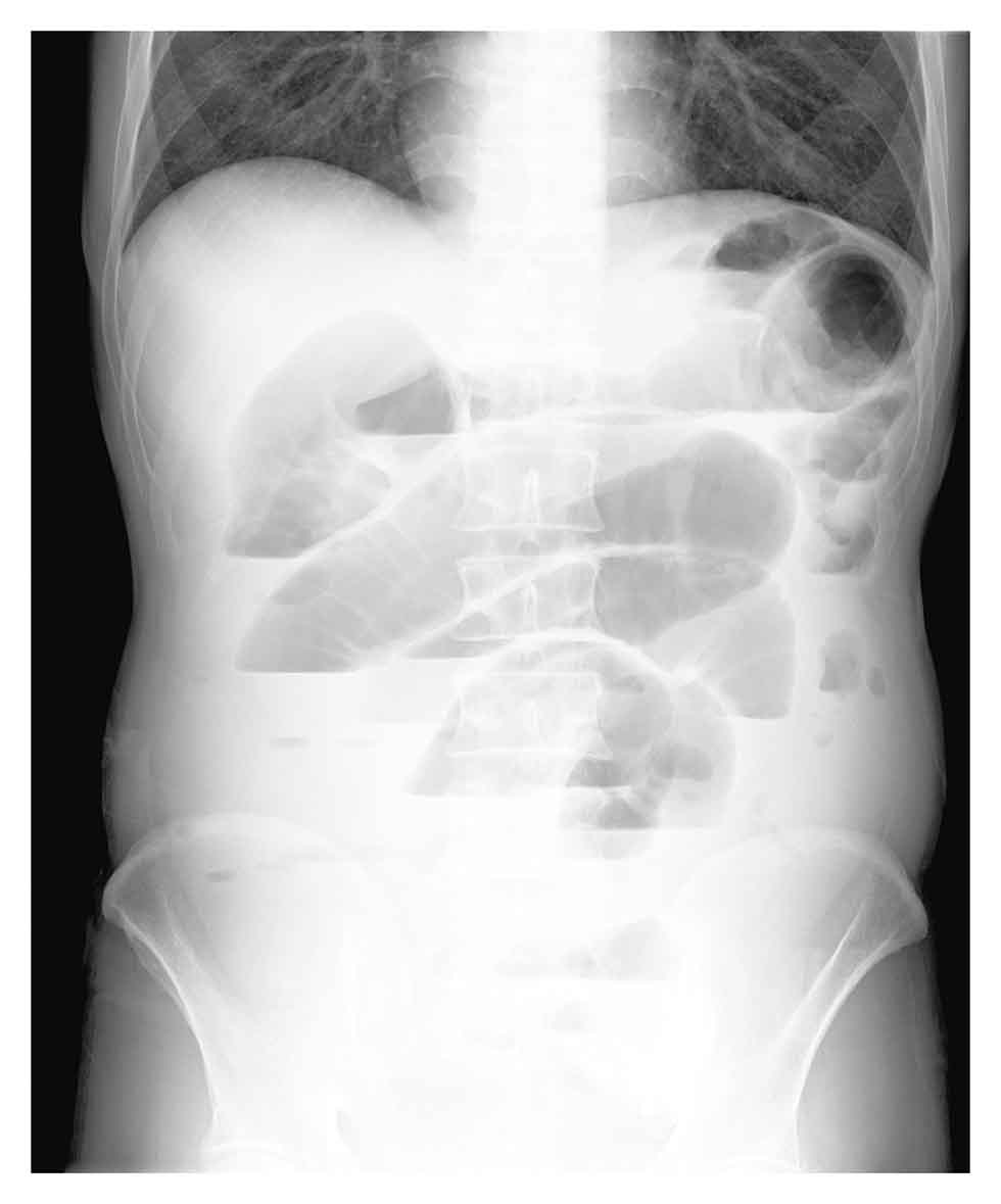
第3回 イレウス イレウスの腹部単純写真がきわめてよく出題されている 診断は 典型的なニボーを伴う 小腸ループの拡大でわかる 問われるのは 患者の治療方針をどうするかが多いようである ポイント 単純性 癒着性 か絞扼性かを見きわめる

第3回 イレウス イレウスの腹部単純写真がきわめてよく出題されている 診断は 典型的なニボーを伴う 小腸ループの拡大でわかる 問われるのは 患者の治療方針をどうするかが多いようである ポイント 単純性 癒着性 か絞扼性かを見きわめる

どこからニボー なんでも内科診療日誌

どこからニボー なんでも内科診療日誌

中央放射線部

中央放射線部

腹部単純x線撮影検査 病院で受ける検査事典 日経gooday グッデイ

腹部単純x線撮影検査 病院で受ける検査事典 日経gooday グッデイ

Source : pinterest.com